Scoliosis Relief
Struggling with Scoliosis in Matawan, NJ?
Are you searching for a trusted chiropractor in Matawan, NJ to help manage scoliosis? Scoliosis typically starts as a subtle curve in the spine that gradually worsens over time. A diagnosis of scoliosis occurs when the spine deviates more than ten degrees to either side when examined by a healthcare professional. As the condition progresses, it can lead to significant health complications.
The good news is that when scoliosis is detected early and helped with chiropractic care, it can often be halted before it becomes debilitating. In this article, we’ll provide an overview of scoliosis, how it develops, its impact on your health, and how chiropractic care in Matawan, NJ can help reverse its effects and restore your body to optimal alignment.


What Is Scoliosis and How Does It Affect the Spine?
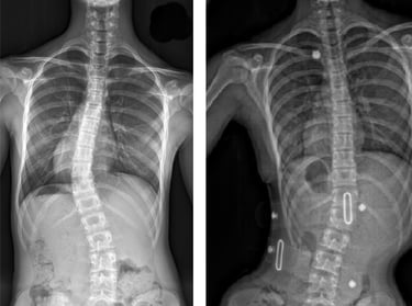
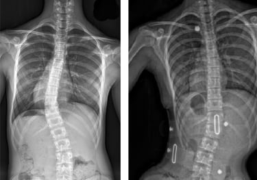
Scoliosis is characterized by an abnormal lateral curve in the spine, deviating from the normal vertical alignment. The cause of this curve is often difficult to pinpoint. In the early stages, it may begin as a minor bend in the spine due to a misaligned vertebra. Over time, the body compensates by developing musculature that continues to pull the spine into additional curves to maintain balance and keep the head level.
Misalignments in the spine can result from various factors, such as poor posture, degenerative diseases, or trauma. Although scoliosis commonly begins during the rapid growth phase in children aged 10-12, it can also develop in adults, often as a result of degenerative conditions like osteoporosis.
The Impact of Scoliosis on Health
If left unaddressed, scoliosis can lead to severe and lasting consequences. It’s commonly associated with discomfort in the back, neck, shoulders, and hips. The condition can also result in frequent injuries and is sometimes linked to sciatica. In severe cases, scoliosis can impair lung and heart function, cause painful menstruation, and lead to physical disability.
How Is Scoliosis Diagnosed?
Scoliosis is often first noticed by parents or close family members, as the shoulders or pelvis may appear uneven. A thorough physical examination is conducted to assess posture, gait, and spinal alignment. The Adams Position Test, which involves the patient bending forward to reveal any visible curvature, is commonly used to assess scoliosis. If a noticeable curve is detected, an X-ray is typically ordered to determine the severity of the condition.
Chiropractic Care for Scoliosis
Chiropractors are expertly trained to conduct detailed examinations to identify scoliosis. Once diagnosed, a comprehensive health history is taken to identify any factors that may be contributing to the condition. This helps chiropractors develop a personalized treatment plan that addresses the unique needs of each patient.
At Trinity Chiropractic care in Matawan, NJ, we offer a gentle, non-invasive approach to managing scoliosis. Through precise spinal adjustments, chiropractors can help correct misalignments and improve the body’s natural compensatory mechanisms. If you’re looking for a safe, non-invasive method to manage scoliosis, chiropractic care can be an invaluable resource in restoring spinal health and improving overall well-being.
If you're dealing with scoliosis or suspect you may have it, don’t hesitate to contact our team at Trinity Chiropractic Care in Matawan, NJ today to schedule a consultation. Let us help you take the first step toward a healthier, pain-free future.
